New publications: new notes on South Dakota amphibians and reptiles

Three new, short notes were involving amphibians and reptiles in South Dakota were published in the December 2020 issue of Herpetological Review. The first was the description of two new county records for Wood Frogs (Rana sylvatica) in northeastern South Dakota. Wood Frogs have recently been expanding its range into and along the Prairie Coteau in recent years (see link). These specimens were collected by regional biologists in April 2020 represent two of eight new localities where individuals were seen or heard chorusing in April 2020. The second is a new record of Plains Hog-nosed Snake (Heterodon nasicus) from Gregory County. Though this specimen was collected in 1925, erroneous locality information recorded the individual from nearby in Nebraska, though the snake was actually collected near Fort Randall, along the Missouri River in present day Gregory County, South Dakota. The third is a note reporting an additional, previously unreported predator of the Smooth Greensnake (Opheodrys vernalis), the Wild Turkey, after an adult Smooth Greensnake was discovered in the crop of a Wild Turkey that was harvested in April 2020

Davis DR, Schardin B. 2020. Opheodrys vernalis (Smooth Greensnake). Predation. Herpetological Review 51:874. [PDF]

Davis DR. 2020. Geographic distribution: Heterodon nasicus (Plains Hog-nosed Snake). Herpetological Review 51:780. [PDF]

Davis DR, McElroy OD, Skadsen DR. 2020. Geographic distribution: Rana sylvatica (Wood Frog). Herpetological Review 51:770–771. [PDF]


New publication: redescription of a new non-pentadactyl Philippine skink

The diversity of Philippine amphibians and reptiles has increased over the last few decades, in part due to re-evaluation of species formerly believed to be widespread. Many of these investigations of widespread species have uncovered multiple closely related cryptic lineages comprising species complexes, each restricted to individual Pleistocene Aggregate Island Complexes (PAICs). One group in particular for which widespread cryptic diversity has been common is the clade of Philippine skinks of the genus Brachymeles. Recent phylogenetic studies of the formerly recognized widespread species Brachymeles bonitae have indicated that this species is actually a complex distributed across several major PAICs and smaller island groups in the central and northern Philippines, with numerous species that exhibit an array of digit loss and limb reduction patterns. Despite the recent revisions to the B. bonitae species complex, studies suggest that unique cryptic lineages still exist within this group. In this paper, we resurrect the species Brachymeles burksi Taylor 1917, for a lineage of non-pentadactyl, semi-fossorial skink from Mindoro and Marinduque islands. First described in 1917, B. burksi was synonymized with B. bonitae in 1956, and has rarely been reconsidered since. Evaluation of genetic and morphological data (qualitative traits, meristic counts, and mensural measurements), and comparison of recently-obtained specimens to Taylor’s original description support this species’ recognition, as does its insular distribution on isolated islands in the central portions of the archipelago. Morphologically, B. burksi is differentiated from other members of the genus based on a suite of unique phenotypic characteristics, including a small body size, digitless limbs, a high number of presacral vertebrae, the absence of auricular openings, and discrete (non-overlapping) meristic scale counts. The recognition of this central Philippine species further increases the diversity of non-pentadactyl members of the B. bonitae complex, and reinforces the biogeographic uniqueness of the Mindoro faunal region.

Siler CD, Freitas ES, Sheridan JA, Maguire SN*, Davis DR, Watters JL, Wang K, Diesmos AC, Brown RM. 2020. Additions to Philippine slender skinks of the Brachymeles bonitae complex (Reptilia: Squamata: Scincidae) IV: resurrection and redescription of Brachymeles burksi. Philippine Journal of Systematic Biology 14:10.26757/pjsb2020b14005. [PDF]


New publication: new records of Wood Frogs from the Prairie Coteau, South Dakota

Historically, only six records of Wood Frogs (Rana sylvatica) existed from South Dakota, all represented by museum specimens from the 1920s. No other Wood Frogs were reported in South Dakota for the next six decades, and the species was presumed extirpated until 1997 when Wood Frog calls were recorded at two sites in northeastern Roberts County. Since 1997, numerous individuals have continued to document Wood Frogs in northeastern Roberts County. It was not until 2016 that Wood Frogs were detected outside of northeastern Roberts County. Here, we report additional records of Wood Frogs from the Prairie Coteau, ca. 50 km southwest of previously known populations.

Skadsen DR, Davis DR. 2020. A population of wood frogs (Rana sylvatica) in southwestern Roberts County and a new county record for Grant County, South Dakota. The Prairie Naturalist 52:31–32. [PDF]


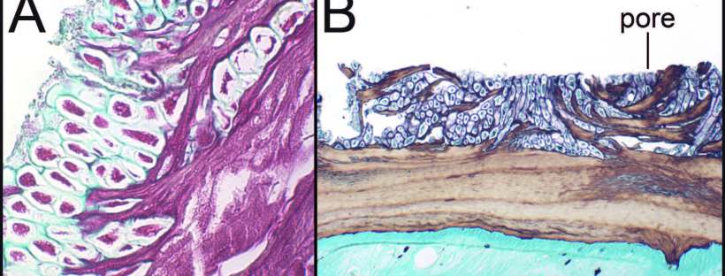
New Publication: a new algae-mediated shell disease process in Yellow Mud Turtles

Christiansen.etal.2020_Fig1While shell diseases may be often encountered in captive aquatic turtles maintained in less than optimum conditions, cases of nonulcerating shell disease in wild populations are rare. We discovered lesions on the carapace of individual Kinosternon flavescens (Yellow Mud Turtle) adapted to a highly aquatic existence in the artificial ponds of a cattle ranch in the Chihuahuan Desert of west Texas. Because the carapacial lesions seemed to represent a continuum of a single process, we followed the gross changes in the lesions on turtles over a 13-yr period, testing the hypothesis that we were seeing a progressive shell disease. We confirmed our working hypothesis as we observed Arnoldiella chelonum, a common, filamentous alga, protruding from enlarged pores in newly formed shell and growing under translucent shell lamellae. As the disease advanced, our gross and histological studies revealed that algae were found between more of the shell lamellae, eventually culminating with sloughing of lamellae. Erosion of lamellae led to a localized but complete loss of portions of the scute and exposure of underlying bone. We provide data on the occurrence of this condition among the marked population and progression of the lesions to more-severe forms in individual turtles. Studies of specimens in research collections provided evidence of our observed disease process in K. flavescens across time and throughout the distribution of the species in Texas. We suggest that, by capitalizing on permanent artificial water sources, K. flavescens has serendipitously allowed A. chelonum to invade and damage the nonliving portion of the shell.

Christiansen JL, Davis DR, Jacobson ER, LaDuc TJ. 2020. A potential new shell disease process revealed by a long-term field study of the yellow mud turtle, Kinosternon flavescens, in Texas. Journal of Herpetology 54:1–8. [PDF]


 

New publication: examining the relationship between water-borne and plasma corticosterone

Water‐borne hormone measurement is a noninvasive method suitable for amphibians of all sizes that are otherwise difficult to sample. For this method, containment‐water is assayed for hormones released by the animal. Originally developed in fish, the method has expanded to amphibians, but requires additional species‐specific validations. We wanted to determine physiological relevance of water‐borne corticosterone in spotted salamanders (Ambystoma maculatum) by comparing concentrations to those taken using established corticosterone sampling methods, such as plasma. Using a mixture of field and laboratory studies, we compared water‐borne corticosterone levels to other traditional methods of sampling corticosterone for spotted salamander larvae, metamorphs, and adults. Despite multiple attempts, and detecting differences between age groups, we found no correlations between water‐borne and plasma corticosterone levels in any age group. Water‐borne sampling measures a rate of release; whereas plasma is the concentration circulating in the blood. The unique units of measurement may inherently prevent correlations between the two. These two methods may also require different interpretations of the data and the physiological meaning. We also note caveats with the method, including how to account for differences in body size and life history stages. Collectively, our results illustrate the importance of careful validation of water‐borne hormone levels in each species in order to understand its physiological significance.

Millikin AR, Woodley SK, Davis DR, Moore IT, Anderson JT. 2019. Water-borne corticosterone and plasma corticosterone are not correlated in spotted salamanders. Ecology and Evolution 9:13942–13953. [PDF]


 

New publication: non-invasive methods to monitor stress physiology in amphibians

Global climate change is negatively impacting global biodiversity and ectothermic vertebrates, with amphibians being the most imperiled vertebrate taxa. Increased mean global atmospheric temperatures, high rates of habitat degradation, and exposure to infectious diseases, such as chytridiomycosis, have contributed to population declines and extinctions of rare and endangered amphibian species. Field-based monitoring of physiological endocrine traits can help determine the sub-lethal effects of environmental stressors and provide early alerts when populations are chronically stressed. Recent advances in amphibian stress endocrinology include the development and use of non-invasive methods to quantify the glucocorticoid, or stress biomarker, corticosterone. Non-invasive methods, such as urinary, skin and buccal swabs, and water-borne hormone monitoring methods (suited for terrestrial and aquatic dwelling species), are available to quantify baseline and short-term physiological stress responses of amphibians under field settings. In this review, we illustrate, by using two case studies of aquatic and terrestrial amphibian species, the applications of non-invasive corticosterone monitoring methods to advance the ecological knowledge and conservation of imperiled amphibian species, discuss the limitations of these methods, and provide future directions for the use of non-invasive hormone monitoring methods. We highlight the use of non-invasive field endocrinology methods to monitor the impacts of environmental stressors on the physiology of amphibians, which can be applied to advance ecological research, conservation, and management of imperiled species.

Narayan EJ, Forsburg ZR, Davis DR, Gabor CR. 2019. Non-invasive methods for measuring and monitoring stress physiology in imperiled amphibians. Frontiers in Ecology and Evolution 7:431. [PDF]


 

New publication: ranavirus in southeast Oklahoma

Davis.etal.2019b_Table1Several infectious diseases are threatening amphibian species worldwide and have resulted in mass-mortality events across the globe. An emerging group of viral pathogens (ranaviruses) are documented to cause die-offs in amphibian populations worldwide, including in several regions of the U.S. Unfortunately, large gaps remain in our understanding of the distribution of this systemic pathogen in the U.S., including within the state of Oklahoma. To address this gap in our understanding, we carried out surveys of this infectious pathogen across 14 sites in seven southeastern Oklahoma counties in spring 2015, screening 17 amphibian species from this region. Using liver and tail tissue samples collected from individual amphibians, we screened for the presence and infection load of ranavirus. Of the 390 samples, 84 (21.5%) tested positive for ranavirus, with infection prevalence varying among species surveyed. Notably, the family Bufonidae had no samples that tested positive for ranavirus, whereas the remaining families had an infection prevalence ranging from 14–50%. Despite an overall infection prevalence of 21.5%, we detected no clinical signs of ranavirosis and all sampled individuals appeared outwardly healthy. These results provide data on the geographic and host distribution of ranavirus in southeastern Oklahoma, as well as the first documented cases of the pathogen in three species of anurans: Gastrophryne carolinensis (Eastern Narrow-mouthed Toad), G. olivacea (Western Narrow-mouthed Toad), and Pseudacris fouquettei (Cajun Chorus Frog). With widespread ranavirus infection, there is potential for transmission from abundant, widespread species to more vulnerable, state-threatened amphibians.

Davis DR, Farkas JK, Kruisselbrink TR*, Watters JL, Ellsworth ED, Kerby JL, Siler CD. 2019. Prevalence and distribution of ranavirus in amphibians from southeastern Oklahoma, USA. Herpetological Conservation and Biology 14:360–369. [PDF]


 

New publication: agricultural contaminants affect stress and pathogens in salamanders

Declines in amphibians are a global problem, influenced by complex local factors. While many factors contribute to these declines, much attention has been focused on the roles of contaminants and pathogens. Throughout eastern South Dakota, row-crop farming has contributed to habitat degradation for many amphibians, often through increases in environmental contaminants. For two years we visited four wetlands (two reference wetlands, two agricultural wetlands) to measure water-borne corticosterone (CORT) release rates and ranavirus in larval Western Tiger Salamander (Ambystoma mavortium). We found that both water-borne CORT release rates and ranavirus infection load were greater in larval salamanders from agricultural wetlands compared to reference wetlands. We also found that water-borne CORT release rates were greater in ranavirus-infected individuals compared to uninfected individuals and that water-borne CORT is positively correlated with ranavirus infection load. Though the causal relationships among contaminants, CORT, and ranavirus infection are difficult to determine, chronically elevated CORT is known to be immunosuppressive and may result in high infection loads. This study further describes the negative effects of crop production on amphibian health, provides the first evidence of ranavirus in South Dakota, and supports the use of water-borne CORT as a biomarker of amphibian population health in row-crop landscapes.

Davis DR, Ferguson KJ*, Schwarz MS, Kerby JL. 2020. Effects of agricultural pollutants on stress hormones and viral infection in larval salamanders. Wetlands 40:577–586. [PDF]


New publication: chytridiomycosis seasonality in Oklahoma

Chytridiomycosis, an infectious disease caused by the fungus Batrachochytrium dendrobatidis (chytrid or Bd), has not been well studied in Oklahoma. This is of particular concern regarding the connection between seasonality and chytrid infection. To further investigate this connection, chytrid prevalence and infection load were quantified within amphibians in central Oklahoma from March to October, across two sites in Oklahoma Co. and two sites in Cleveland Co. The results show a trend between seasonality and chytrid, with spring and fall showing higher prevalence and summer showing lower prevalence, which coincides closely with the preferred chytrid growth temperatures. Additionally, periods of high rainfall in May 2015 are linked to increased chytrid prevalence, as has been suggested by other research. Additionally, species exhibiting high chytrid prevalence follow the results of previous studies: Blanchard’s Cricket Frog (Acris blanchardi), American Bullfrog (Rana catesbeiana), and Southern Leopard Frog (Rana sphenocephala).

Watters JL, McMillin SL*, Marhanka EC*, Davis DR, Farkas JK, Kerby JL, Siler CD. 2019. Seasonality in Batrachochytrium dendrobatidis detection in amphibians in central Oklahoma. Journal of Zoo and Wildlife Medicine 50:492–497. [PDF]


 

New publication: habitat influences Spotted Salamander stress hormones

Spotted Salamanders (Ambystoma maculatum) require vernal pools for breeding habitat. Limited protection and preservation of vernal pools makes suitable habitat creation important. Differences in corticosterone levels, a hormone associated with growth, development, and stress in amphibians, could indicate population health and habitat quality. Our objective was to determine if habitat characteristics in created vernal pools influence corticosterone levels of Spotted Salamander larvae. In May and June of 2015 and 2016, we sampled water-borne corticosterone levels of larval Spotted Salamanders in 34 created vernal pools constructed 1–5 years earlier. Using multiple regression, we determined the best model predicting corticosterone levels included larval total length, pool-water temperature, year sampled, and pool diameter. Pool-water pH, depth, and age; percent cover; and predator presence were not significant predictors. Annual variation in corticosterone levels and habitat characteristics, and positive associations with water temperature and salamander body size highlighted the importance of controlling for external influences. The negative association between pool diameter and corticosterone indicated that larvae in larger pools (up to 12.75-m maximum diameter) were less stressed and potentially healthier. These results indicate that pool diameter contributes to habitat quality and may be important when constructing vernal pools for Spotted Salamanders.

Millikin AR, Woodley SK, Davis DR, Anderson JT. 2019. Habitat characteristics in created vernal pools impact spotted salamander water-borne corticosterone levels. Wetlands 39:803–814. [PDF]